Skip to main content

Kediden Bulaşan Bir Parazit Sıradan Bir Hayvanseveri Kedi Delisine Dönüştürebilir mi?

 Kediden Bulaşan Bir Parazit Sıradan Bir Hayvanseveri Kedi Delisine Dönüştürebilir mi?

Kedileri fazlaca seven insanların, kendilerine has farklı özellikleri olduğunu ayrım ettiniz mi? Kedi sevgisiyle dolup taşan bu insanların bazıları, yaşamlarını kedi ordularını doyurmaya ve onları korumaya adıyorlar. Hasta kedileri tedavi ettiriyor, köy köy gezerek kedilere mama dağıtıyor, hatta evlerini sayısını net olarak bilmedikleri bir kedi topluluğu ile paylaşıyorlar. Peki fakat bu neden oluyor? Bu özelliklere sahip insanlar mı, kedi beslemeye meylediyorlar yoksa kedi beslemek mi onları bu hale getiriyor?









Bu sual kulağınıza garip gelmiş olabilir sadece bu probleminin sorulmasının esas sebebi, kedilerden insanlara geçen bir parazitin insan davranışlarını etkilediğine dair ilmi kanıtların elde edilen olmasıdır.




Kedilerle arkadaşlığımızın MÖ 1200’lü yıllarda Mısır’da başladığı tahmin edilmektedir. O zamandan beri kedilerle iç içe yaşıyoruz. Mısır’da kediler mübarek kabul edilmiş ve asiller gibi mumyalanmıştır. Hatta Persler, kedilere zarar verme tehdidi ile Mısırlıları teslim olmaya zorlamıştır.

                          

Bugün de kediler yaşamlarımızda mühim yer tutuyorlar. Sokaklarımız kedilerle dolu ve sosyal medyada kedi videoları mühim bir yer tutuyor. Onları aşırı sevenlere de “Kedi Delisi” deniliyor. Peki acaba kedi severleri kedi delisi haline getiren içimizde kurnazca çoğalan bir parazit olabilir mi?


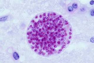
Tokzoplazma Gondii

Varlığı 40 yıl önce keşfedilen tek hücreli parazit bir protozoa (bir gözeli hayvan) olan “Tokzoplasma gondii’, insanları ve hayvanları etkileyen bir parazit türüdür. Yapılan gözlemler, tokzoplazma gondinin konakladığı canlının davranışlarını değiştirebildiğini, onları daha dikkatsiz ve daha korkusuz kıldığını göstermiştir.




Bu parazit, kedilerin bağırsaklarında çoğalır ancak orada olgunlaşmaz. Oosit ismi verilen “bebek” parazit kedinin dışkısı ile dışarı atılır.


                         


Dışarıya çıkan oosit, dışarıda ara konağını şu demek oluyor ki olgunlaşabileceği ve çoğalabileceği canlıyı bekler. Bekleme süresi bir yılı bulsa bile dayanabilir. Yiyecekleri vasıtasıyla bebek tokzolar (oosit), ara konağa geçer ve ara konağın dokuları arasına yerleşerek ömür döngüsüne süre gelir.


Tokzoplazma gondii, haiz olduğu birtakım üstün özellikleri sayesinde dünya genelinde yaygın olarak görülen bir parazit türü haline gelmiştir.




Tokzo’nun Üstün Özellikleri

Tokzo’yu diğer parazitlerden farklı kılan birtakım özellikleri vardır. En mühim özelliği, doğru yerde doğru zamanda bulunabilmesini sağlayan uzun süre canlı kalma yeteneğidir. Bebek tokzo’lar (oosit) kedinin dışkısı ile dışarı çıktığında uzun süre canlılığını muhafaza edebilmesini elde eden bir korumayla kaplıdır. Kedilerin avladığı kuş, sıçan gibi kemirgenlerin sistemlerine girmek için oosit yaklaşık bir sene kadar bekleyebilir.


Bunun yanı sıra tokzo, kime bulaşacağı konusunda fazla seçici değildir. İnsanlar da dahil olmak suretiyle kirli su yada toz kanalıyla sıcakkanlı tüm canlılara bulaşabilir.


Bilim insanları, tokzonun kediler dışındaki canlıların davranışlarını etkilediğine dair gözlemlerde bulunmuştur. Örneğin farelerin oositleri almasıyla başlamış olan tokzonun enfekte olma periyodu, tokzonun bağırsaklardan kana ve ondan sonra kas hücrelerine ve nöral hücrelere geçmesi ile devam eder. Burada olgunlaşarak oosisten tazzoite dönüşerek çoğalır.


Tokzo, sinir sistemini etkileyerek konakçısı olduğu canlının davranışlarını değiştirebilir. Örneğin normalde bir fare kedi kokusu duyarsa beynindeki dopamin seviyesi azalır ve bu da korku duygusuna yol açarak, farenin kediden uzaklaşmasına neden olur. Ancak farenin bedeninde tokzo enfekte olduysa kedi kokusu duymak dopamin seviyesini düşürmek şu şekilde dursun aksine dopamin seviyesinin yükselmesine neden olur. Yani sıçan kediden korkup kaçacağı yerde kediyi merak etmeye ve onu aramaya başlar. “Ölümcül çekim olgusu” adı verilen bu durum, farenin kedi tarafınca yenilme olasılığını artırır.

                         

İnsanlarda Tokzo Etkisi

1908 yılında Charles Nicolle ve Louis Manceaux tarafından meydana getirilen tokzo ile ilgili keşifler, insanlarda, aralarında bağışıklık sistemi rahatsızlıkları da dahil olmak üzere pek çok ciddi hastalığa yol açabileceğini göstermiştir.


1930’lar ila 1940’lar arasında, tokzonun hamilelikte bebekte ciddi anormalliklere yol açabileceği anlaşılmıştır.


Tokzonun kedilerle bağlantısının keşfedilmesi ise 1960’lı yıllarda gerçekleşmiştir.


Bağışıklık sistemi zayıflamış olan kişilerde, örneğin AIDS’li kişilerde tokzo körlük ve muhtelif beyin lezyonlarına yol açabilmektedir.


Günümüzde hemen hemen her üç kişiden birinde tokzo enfeksiyonu görülmektedir. Ancak enfeksiyona sahip olanların sadece %10 ila %20’sinde semptomlar ortaya çıktığından tokzo bugüne dek fazla önemsenmemiştir. Fakat son yapılan araştırmalar, tokzonun insanlarda bazı entresan davranış değişikliklerine yol açtığını göstermiştir. Tokzonun insanları daha kaygısız ve daha korkusuz kıldığı anlaşılmıştır.


2002 senesinde yapılan araştırmada, tokzo enfeksiyonuna sahip bireylerin trafik kazalarına karışma oranının tokzo enfeksiyonuna haiz olmayanlardan daha yüksek olduğu görülmüştür.


Bazı psikiyatrik rahatsızlıkların görülme sıklığı da tokzonun enfekte olduğu bireylerde daha yüksektir.


Tokzonun beyindeki dopamin seviyesini etkilediği, dopamin seviyesinin de davranışlarımızı etkilediği kanıtlanmış olduğuna gore tokzonun insan davranışlarını etkileyebileceğini öne sürmek temelsiz bir faraziye değildir.


Bununla birlikte bazı araştırmacılar, psikolojik rahatsızlık eğilimi olanların bir hayvan dosta daha fazla ihtiyaç duydukları, bakımı nispeten basit bir hayvan olan kedileri tercih ettikleri ve kedilerle yakın ilişkide olmanın da tokzoplazma gondiinin enfekte olma ihtimalini artırdığının göz önünde bulundurulması icap ettiğini bildirmektedirler.


Sonuç olarak T.Gondii bize doğanın manipülatif güçlere haiz olabileceğini kanıtlamıştır. Bu tek hücreli parazitin konağının davranışlarına olan etkisi ile alakalı gözlemler insanları iyi mi etkilediğine dair keşfedilmeyi bekleyen daha pek oldukca gizem olabileceğini göstermektedir. Kediler, tokzoya kısa sürede bağışıklık kazanabildiğinden kedilere fizyolojik bir zarar vermediklerini biliyoruz ancak onların davranışlarını da etkiliyorlar mı bundan güvenilir değiliz. Konu ile ilgili olarak Nebraska Üniversitesi’nde yürütülmekte olan Toxo Projesi benzer biçimde dünyanın pek fazlaca bilim merkezinde araştırmalar sürmektedir. Konu ile ilgili yeni keşiflere Olağanüstü Kanıtlar’da yer vermeye devam edeceğiz.


Kaynaklar:

National Institutes Of Health (NIH) (Link 1)

USDA.Gov

National Institutes Of Health (NIH) (Link 2)

Ancient History Encyclopedia

Toxo Project

Comments

Popular posts from this blog

Sovyet Sosyalist Cumhuriyetler Birliği

Sovyet Sosyalist Cumhuriyetler Birliği , ( Rusça :    Союз Советских Социалистических Республик   ( yardım · bilgi ) , Soyuz Sovetskikh Sotsialisticheskikh Respublik ,  /sɐˈjʊs sɐˈvʲeʦkʲɪx səʦɪəlʲɪˈstʲiʨɪskʲɪx rʲɪsˈpʊblʲɪk/ ; kısaca СССР, SSSR )  Sovyetler Birliği  ya da  SSCB  olarak da bilinir,  Rusya İmparatorluğu 'nın  1917 'deki Büyük  Ekim Devrimi 'yle yıkılmasından sonra aynı topraklar üzerinde kurulan ve  1991 'e değin varlığını koruyan devlet.  Avrupa 'nın doğu kesimiyle,  Asya 'nın kuzey kesimi boyunca yayılan SSCB, son yıllarında 22.403.000 km²'lik  yüzölçümüyle  dünyanın en büyük ülkesiydi.  Nüfus  bakımından da 293.047.571 ( Haziran   1991 ) kişiyle 3. sırada yer alıyordu. Aynı zamanda dünyanın başlıca siyasî ve askerî güçlerinden biri olan Sovyetler Birliği, batısında  Norveç ,  Finlandiya ,  Baltık Denizi , Polonya ,  Çekoslovakya ,  Macaristan ...

Лжедмитрий I

Лжедми́трий I , официально именовавший себя царевич (затем царь) Дмитрий Иванович [1] [2] , в сношениях с иностранными государствами — Император Димитрий ( лат.   Demetreus Imperator ) (ум.  17 мая   1606 ) —  царь   России  с  1 июня   1605  по  17 (27) мая   1606 , по устоявшемуся в историографии мнению —  самозванец , выдававший себя за чудом спасшегося младшего сына  Ивана IV Грозного  — царевича Дмитрия . Первый из трех самозванцев, именовавших себя сыном  Ивана Грозного , притязавших на российский престол (см. также  Лжедмитрий II  и  Лжедмитрий III ). Гибель царевича Дмитрия Основная статья:  Дмитрий Углицкий (царевич) Царевич Дмитрий погиб при не выясненных до настоящего времени обстоятельствах — от ножевой раны в горло. [3]   Его мать  обвинила в убийстве Дмитрия пребывавших в Угличе «людей Бориса»  Данилу Битя...

Kanije Savunması

önceki sonraki Ünlü Kanije Savunması’nın kahramanı olarak tanınan, Türk Tarihi’ne adını zekâsı  ve kahramanlıklarıyla yazdıran, kahveye olan düşkünlüğü ile ün salarak kendisine “Tiryaki” lakabıverilen Tiryaki Hasan Paşa, tam olarak bilinmese de bazı kaynaklarda Kanije Savunmasısırasında (1601) 87 yaşında olduğu  söylendiği üzere 1516 yılında doğmuştur. 2. Selimzamanında Enderun’da eğitim görmüştür. 3. Murat’ın şehzadeliği sırasında Manisa’da onunrikabdarlığı görevini yaptı. Ardından 3. Murat’la birlikte İstanbul’a gitti ve bir süre saraydakaldı.İlk olarak İzvornik sancakbeyi oldu. 1583’ de Göle, 1587’de Pojega sancakbeyioldu.1594’de Bosna beylerbeyi oldu ve  daha sonra daha sonra Budin beylerbeyi oldu. 1600-1601 yılları arasında fethedilen Kanije Kalesine  beylerbeyi olarak atanan Tiryaki Hasan Paşa bu yıllarda yaşının verdi...